Analyse personnalisée

Bénéficiez d’un avis sur le traitement à mettre en place

Pour nous permettre d’analyser votre sourire et d’avoir une première réflexion sur le traitement à mettre en place, reproduisez à l’aide de votre téléphone ou d’un appareil photo les exemples ci-dessous.

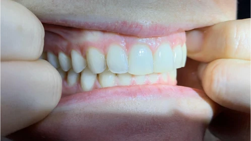
    Photo de face

    Prenez une photo de votre sourire dents fermées. Nous devons voir toutes les dents correctement.

    Analyse personnalisée : Drs Biecq et Payart aux Cabinets Flandres Orthodontie à Lille et Hazebrouck
    Télécharger la photo de votre sourire de face *

    Photo de côté droit

    Prenez une photo du côté droit de votre sourire avec les dents fermées

    Analyse personnalisée au Cabinet Flandres Orthodontie à Lille (59000)
    Télécharger la photo de votre sourire côté droit *

    Photo de côté gauche

    Prenez une photo du côté gauche de votre sourire avec les dents fermées

    Analyse personnalisée au cabinet d'orthodontie Flandres Orthodontie
    Télécharger la photo de votre sourire côté gauche *

    Photo des dents inférieures

    Analyse personnalisée : Dr Etienne Payart, orthodontiste à Hazebrouck (59190)
    Télécharger la photo de vos dents inférieures *

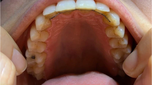
    Photo des dents supérieures

    Analyse personnalisée : Docteur Etienne Payart, orthodontiste à Lill et Hazebrouck
    Télécharger la photo de vos dents supérieures *